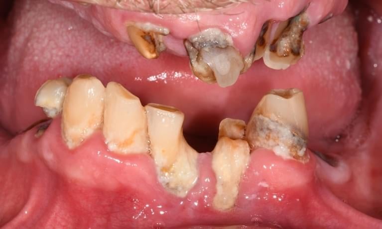
I understand how embarrassing it is to have missing or broken teeth. You're extremely self-conscious when you speak, smile or laugh, and it hurts your self-confidence. Plus, you would do anything to be able to chew on a steak, bite an apple or eat normal foods again.
The GOOD NEWS IS THAT: You can FINALLY have a mouth full of teeth that look and feel natural and can turn back the clock on your teeth and get your smile and confidence back.
We have helped many patients get rid of the embarrassment of having missing or broken teeth thanks to dental implants. This procedure replaces a missing tooth with an artificial tooth that is much stronger than a dental crown.
The best part is that these artificial teeth look just like your natural teeth – nobody will even know you had the procedure done! And the implant could last a lifetime when properly maintained with adequate brushing and flossing.
That means you can live the rest of your life without having to be shy about smiling or embarrassed that you have missing or broken teeth. If you are missing multiple teeth, we have options for replacing several, most, or even all your teeth across 4-6 dental implants – giving you a fresh start and second chance at having beautiful, strong, natural-looking teeth again.
At your initial consultation, you will get a chance to meet our team and discuss all your treatment options, including sedation options so you can be sure to be completely comfortable with even little to no memory of the procedure itself. We will also discuss flexible and convenient payment options, and some procedures may be covered by your insurance.